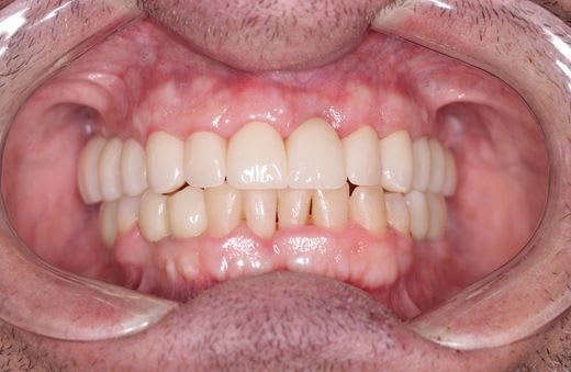
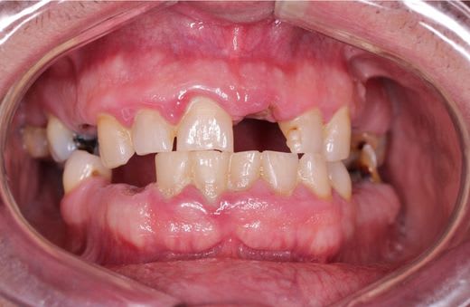
Llámanos Pide tu cita Casos clínicos de Odontología Tratamiento completo de rehabilitación El tratamiento incluye: Coronas sobre implantes Coronas sobre dientes naturales Reconstrucciones en la arcada inferior