Ortodoncia invisible en Herrera y ortodoncia tradicional
A todos nos encanta poder lucir nuestra mejor sonrisa. No solo es una cuestión estética, sino de salud bucodental. La ortodoncia puede ser tu gran aliada y en Clínica Montaño Herrera sabemos cómo hacerlo a la perfección.
Partiendo de un análisis pormenorizado de los problemas que presentan los maxilares y los dientes, nuestro especialista en ortodoncia, Francisco Montaño, elabora el plan de tratamiento más adecuado para cada uno de nuestros pacientes, adaptándose a sus demandas.
Contamos con un gran abanico de soluciones de ortodoncia
Es el tratamiento de ortodoncia más conocido y el que se ha utilizado tradicionalmente para corregir una mala mordida. Está indicado tanto para dientes torcidos o apiñados, cuando se busca mejorar la estética de la sonrisa, como para los casos en los que los dientes de arriba y de abajo no encajan bien entre sí.
Corregir la mordida no solo mejora la apariencia de la sonrisa, también es fundamental para mantener una buena salud bucodental. Si no se trata, pueden aparecer problemas como caries, enfermedades de las encías, dolor de mandíbula o incluso la pérdida de dientes.
Este tratamiento suele recomendarse a partir de los 12 o 13 años, cuando ya han salido todos los dientes definitivos.
Existen diferentes tipos de brackets según el material:
-
Brackets metálicos: son los más habituales y ofrecen un tratamiento muy eficaz.
-
Brackets estéticos: están fabricados con cerámica o materiales especiales para que sean más discretos y se noten menos.
Nuestro especialista en ortodoncia te aconsejará el tipo de brackets más adecuado para ti, teniendo en cuenta el estudio previo y tus preferencias estéticas, para conseguir el mejor resultado posible.
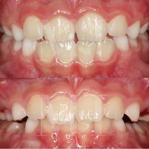
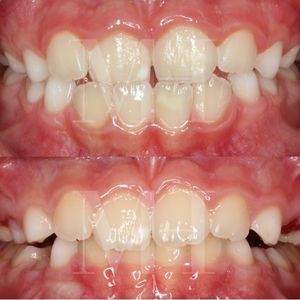
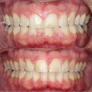
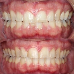
Casos de ortodoncia en Herrera
Paciente con clase III esquelética.
Uso de disyuntor y máscara facial.
Tratamiento con brackets durante un año y medio.
Además, se corrige incisivo con restauración estética.
