Odontología conservadora en Herrera
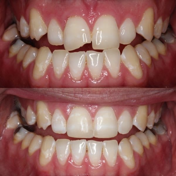
El objetivo de las obturaciones/reconstrucciones es el de restaurar la anatomía del diente que se ha visto alterada por la existencia de la caries principalmente eliminando así el tejido afectado.
En Clínica Montaño Herrera utilizamos en odontología conservadora materiales de restauración biocompatibles y altamente estéticos con el fin de que el diente realice su función de forma correcta, así como conseguir una mayor estética en todos nuestros trabajos.
Soluciones en odontología conservadora
