A lo largo de la vida, si no cuidamos nuestros dientes y la salud bucodental, iremos perdiendo piezas dentales, con los innumerables problemas que esto acarrea. Por desgracia, el paciente empieza a preocuparse cuando le faltan dientes de manera considerable y empieza a tener problemas. Para evitar llegar hasta aquí, compartimos unos consejos para mejorar la salud bucodental en adultos.
En muchas ocasiones, un problema en nuestra boca puede empezar a afectar a otras partes de nuestro organismo y derivar en otras enfermedades.
Uno de los problemas más habituales que vemos con mucha frecuencia en nuestra clínica dental es la masticación incorrecta que afecta, sin lugar a dudas, a una mala digestión, forzando a nuestro estómago a trabajar con mayor ritmo. También, de manera inconsciente, comenzamos a masticar por el lado donde sí tenemos piezas dentales, lo que propicia un desgaste mayor en las piezas dentales sanas. En este aspecto, las encías también sufren más de lo debido.
Otro de los problemas evidentes es la falta de estética cuando se trata de piezas dentales en la parte frontal, que puede provocar el hundimiento del labio o incluso una mala pronunciación al hablar. En cuanto a las piezas dentales ausentes que no se aprecian, los pacientes suelen pensar que no pasa nada, pero también acarrea problemas que afectan al desgaste del hueso maxilar (donde se produce acumulación de alimentos, movimiento del resto de dientes o maloclusión dental, aparición de caries, sarro, etc.).
Y el gran problema olvidado: el psicológico. Mostrar una dentadura sin piezas dentales, intentar no sonreír o el qué dirán, termina provocando introversión e inseguridad, afectando a nuestra manera de relacionarnos.
Soluciones si te faltan dientes
Prótesis removibles para la falta de dientes
Si cuentas con una o varias ausencias de piezas dentales diseminadas a lo largo de la dentadura, es decir, no son consecutivas, una solución adecuada es la prótesis parcial removible. Su estructura está hecha con una base metálica donde se fijan los dientes artificiales de resina y el paciente puede extraerla fácilmente. En este tipo de solución recomendamos siempre una buena rutina de limpieza de la prótesis.
Si hay ausencia total de los dientes, una opción serán las prótesis completas removibles. Son de resina en su totalidad y cumplen una triple función: recuperan función masticatoria, fonatoria y estética.
Prótesis fija sobre dientes
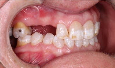
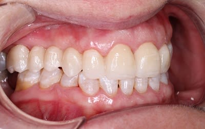
Principal solución ante la ausencia de 1 o 2 dientes consecutivos en la que se utilizan los dientes adyacentes al hueco como pilares para un puente fijo. Siempre es necesario al menos dos dientes que soporten ambos extremos y que se cuente con raíz suficiente. Es una opción fija muy cómoda y estética.
ANTES

DESPUÉS

Prótesis fija sobre implantes
Si te falta un diente, la solución ideal suele ser la colocación de un implante dental. Se trata de simular una raíz de un diente con una pieza de titanio biocompatible que se coloca en el hueso maxilofacial. Sobre esa pieza colocaremos la corona, sin tocar los dientes adyacentes y con la misma forma y color que el resto de tus dientes.
Podemos también reponer ausencias de varios dientes realizando puentes como los ya mencionados anteriormente, pero con los pilares en los implantes, en vez de dientes; así como reponer toda una arcada edéntula sobre implantes.
Estos tratamientos pueden durar entre 5 y 12 meses, ya que una vez se coloca el implante de titanio se espera un tiempo prudencial para la correcta integración en el hueso. Más adelante se realiza la colocación de la corona. En algunas ocasiones puede colocarse una corona provisional de forma inmediata junto a la colocación del implante, pero este debe tener la estabilidad suficiente.
ANTES

DESPUÉS

Casos clínicos de falta de dientes en nuestro canal de Instagram
Para suplir la falta de dientes, ven a Clínica Montaño Herrera, tu dentista en Herrera. Somos especialistas en implantología y ponemos a tu disposición un amplio abanico de soluciones flexibles, adaptadas a tus necesidades. Te ayudamos a mejorar el área funcional de tu boca y a recuperar tu sonrisa. Nuestro objetivo es que vuelvas a sonreír con confianza y seguridad.
En Clínica Montaño Herrera, ponemos solución a la ausencia de dientes. Puedes escribirnos desde este formulario, llamarnos al 744 60 56 94 para pedir cita o acudir presencialmente. ¡Te estaremos esperando!
