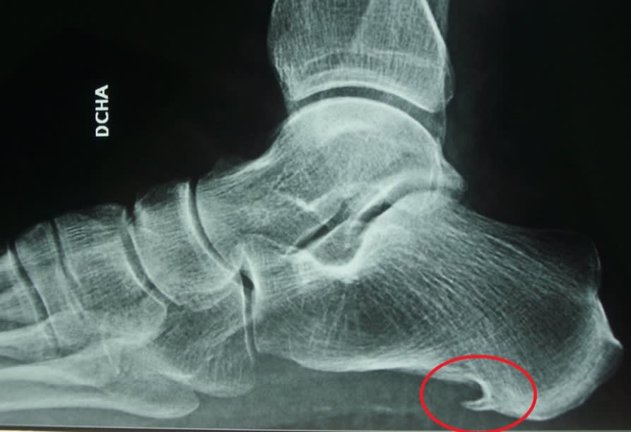
Cuando se produce un crecimiento irregular en el hueso del talón y viene acompañado de dolores por inflamación, estamos ante un caso de espolón en el talón o espolón calcáneo. Es decir, se trata de calcificaciones producidas en el talón identificadas por su forma triangular o en forma de lanza.
¿Por qué salen los espolones?
Estos crecimientos óseos suelen estar asociados con la fascitis plantar, una condición donde el tejido conectivo en la planta del pie se inflama. Aunque la causa exacta de la formación de espolones no siempre es clara, se cree que factores como la biomecánica anormal del pie, el uso excesivo, lesiones repetitivas o malos hábitos de calzado pueden desencadenar su desarrollo.
¿Cómo evitar los dolores producidos por el espolón en el talón?
El dolor se presenta en la parte interna del talón, pero también es habitual sentir pinchazos en el pie. También hay pacientes que tienen un espolón en el talón pero son asintomáticos, por eso es importante realizar las revisiones periódicas de nuestros pies.
Realizar estiramientos y masajes son los consejos más fáciles para realizar en casa por el paciente. Es posible que requiera toma de medicamentos antiinflamatorios o ir un poco más allá con fisioterapia, vendajes o electroterapia. Nuestra área de podología en Clínica Montaño Herrera recomendamos también el uso de plantillas personalizadas y taloneras específicas. Si es necesario, el podólogo recomendará al paciente realizar cirugía en el pie, que suele realizarse en una sesión y el paciente puede irse a casa el mismo día, con unos tiempos de recuperación de entre 3 a 5 días. Si es una fascitis, cortaremos la fascia y si es una entesitis, cortaremos el músculo y eliminaremos el espolón.

Rasgos más característicos y propensos a tener espolones en el talón
- La edad es una de las cuestiones más lógicas. A mayor edad, más posibilidades porque los pies han vivido más. También puede darse en jóvenes que hacen mucho deporte, sobre todo si las superficies sobre las que practican deporte son duras.
- Exceso de peso: Al sobrecargar los talones con sobrepeso existe una causa más evidente de padecer esta patología.
- Uso de calzado inadecuado o muy duro. Es importante adecuar el calzado a la actividad que se vaya a realizar, como por ejemplo, para hacer deporte.
- Pasar mucho tiempo de pie no es bueno para nuestros talones porque sobrecargamos los tendones del pie.
- Enfermedades reumáticas: artritis reumatoide, espondilitis, artritis psoriásica.
- Casos de pie cavo o pie plano.
- Pacientes con diabetes.
En Clínica Montaño Herrera, tu podólogo en Herrera, realizaremos primero un estudio biomecánico de la pisada para conocer el origen de la inflamación y te ayudaremos a eliminar el dolor para que puedas recuperar tu vida con plena normalidad.