Hoy queremos mostraros un caso clínico en odontología de cambio de coronas dentales.

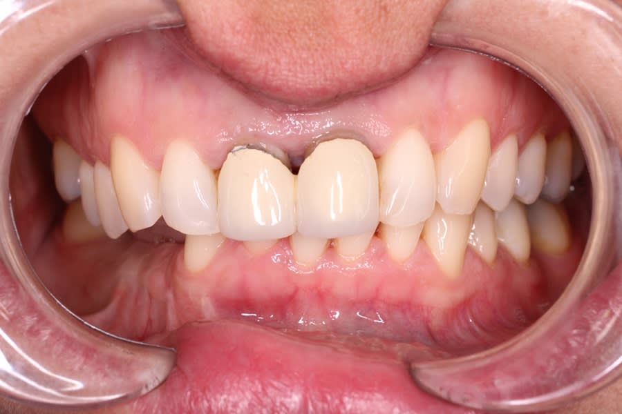
La paciente presentaba inicialmente unas coronas de metal cerámica en sus incisivos centrales superiores o más conocidos como paletas.

Como se puede apreciar en las fotografías, están desajustadas al margen gingival.

La paciente presentaba cuatro problemas claros:

  1. Retención y mayor acúmulo de suciedad en el cuello del diente.
  2. Mayor probabilidad de contar con problemas periodontales en la encía debido a esa acumulación de bacterias.
  3. Falta de estética al tener oscurecida la zona.
  4. Afección a la autoestima de la paciente al no sonreír ampliamente para no enseñar esa zona. 

Contando con este diagnóstico de partida, el equipo de Odontología de Clínica Montaño Herrera, trabaja sobre el cambio de esas coronas por unas de zirconio, mejorando así la biocompatibilidad del material en los tejidos, la adaptación de los mismos y consiguiendo una mayor estética dental.

Desde el aspecto odontológico puro y duro, es un gran logro ganar esa papila central con el tallado, dejando los provisionales durante varios meses y mejorando el aspecto y engrosamiento de los tejidos periodontales alrededor del diente. 

Evolución de la sonrisa tras cambio de coronas dentales

Nos encanta poder ver los resultados finales comparando desde el origen del problema hasta la colocación final de las coronas. 

Podemos ver la sonrisa inicial (foto 1), donde se aprecia ese desajuste de coronas que comentábamos al inicio con espacios negros por la falta de papilas.

El caso evoluciona con la colocación de las coronas dentales provisionales (foto 2) tras recibirlas de nuestro laboratorio dental de confianza. En nuestra clínica los adaptamos, tras el tallado del diente, a la encía.

Durante dos meses realizamos un seguimiento y revisión exhaustivo y se van realizando cambios en las coronas provisionales para poder conseguir un mejor ajuste de los tejidos blandos. Esto también nos permite ir trabajando a nivel estético, ya que vamos viendo tamaño y forma de los dientes, y el paciente se puede ver antes del resultado final. 

En la última foto (foto 3), vemos la sonrisa final con las coronas de zirconio colocadas. En este caso, se alarga el diente para que el borde incisal de los dientes recaiga sobre la línea del labio inferior y conseguir así los parámetros estéticos por excelencia.

Si cuentas con un problema similar o te gustaría modificar la estética de tu sonrisa, el tratamiento con coronas dentales es una de las mejores opciones a tu alcance. En Clínica Montaño Herrera te acompañamos durante todo el tratamiento para lograr la sonrisa que siempre has soñado.

0
Me encantaría conocer tu opinión, por favor, deja un comentario.x