La pérdida dental va más allá de un problema estético. Afecta nuestra autoestima, dificulta disfrutar de las comidas y nos hace sentir incómodos en situaciones sociales. Los implantes dentales ofrecen una solución duradera y natural, devolviéndonos la función y la belleza de nuestra sonrisa. Pero su impacto es aún mayor, transformando nuestra calidad de vida de manera profunda.
- El impacto de la pérdida dental en la calidad de vida
- Recupera tu sonrisa, recupera tu confianza
- Más allá de la estética: mejora en la calidad de vida
- El proceso de los implantes dentales: un camino hacia la recuperación
- Cuidados y mantenimiento para una sonrisa duradera
- Casos de éxito: historias inspiradoras
El impacto de la pérdida dental en la calidad de vida
La ausencia de uno o varios dientes puede generar inseguridad y ansiedad. Nos cohibimos al sonreír, evitamos ciertos alimentos y nos sentimos juzgados. Esta situación impacta negativamente nuestra autoestima y bienestar emocional.
En nuestra clínica dental en Herrera, hemos sido testigos de cómo los implantes dentales revierten esta situación, devolviendo a nuestros pacientes la alegría de sonreír sin complejos.
Recupera tu sonrisa, recupera tu confianza
Una sonrisa completa y radiante es nuestra mejor carta de presentación. Los implantes dentales nos permiten recuperar esa sonrisa perdida, devolviéndonos la confianza en nosotros mismos. Muchos de nuestros pacientes nos cuentan cómo, tras recibir sus implantes, se sienten más seguros
Más allá de la estética: mejora en la calidad de vida
Los beneficios de los implantes dentales trascienden la estética dental. Al recuperar la capacidad de masticar y hablar correctamente, disfrutamos de una alimentación variada y nos comunicamos con mayor claridad. Es más, a nivel biológico es la única opción que, bien cuidada, mantiene el hueso y evita que se reabsorba con el paso del tiempo. La estabilidad de los implantes elimina las molestias de las dentaduras postizas, y su fácil higiene contribuye a nuestra salud bucal y general.
El proceso de los implantes dentales: un camino hacia la recuperación
En Clínica Montaño Herrera, te acompañamos en cada etapa del proceso. Desde la evaluación inicial hasta la colocación de la prótesis final, utilizamos tecnología de vanguardia y técnicas mínimamente invasivas para garantizar tu comodidad y el éxito del tratamiento.
En nuestra clínica, realizaremos una evaluación exhaustiva de tu salud bucal, incluyendo radiografías, CBCT para valorar la colocación de implantes, tomografías computarizadas (TC) para evaluar la calidad y cantidad de hueso disponible. Utilizaremos software de planificación 3D para simular la colocación del implante y diseñar la prótesis dental con el objetivo de establecer una planificación del tratamiento.
Una vez realizada la cirugía para la colocación del implante, comienza el periodo de osteointegración, que suele durar entre 3 a 6 meses, donde el hueso se fusiona con el implante. Tras este periodo se coloca el pilar de cicatrización, se toman impresiones de la boca para fabricar la prótesis dental y se procede a la colocación de la prótesis dental.
Cuidados y mantenimiento para una sonrisa duradera
Los implantes dentales son una inversión a largo plazo. Con una higiene adecuada y revisiones periódicas en nuestra clínica, pueden durar toda la vida. Te enseñaremos a cuidar tus implantes para que disfrutes de sus beneficios durante muchos años.
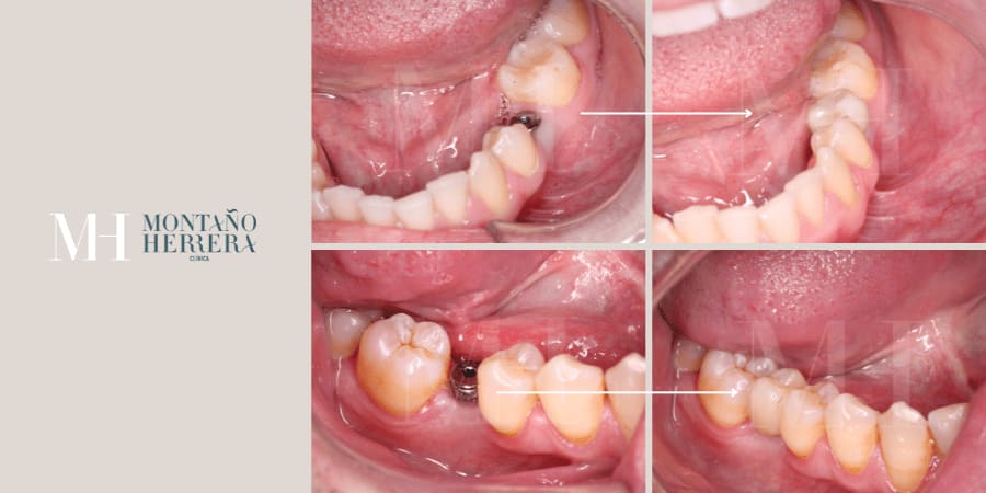
Casos de éxito: historias inspiradoras
Nos llena de orgullo compartir las historias de nuestros pacientes, quienes han recuperado su sonrisa y su confianza gracias a los implantes dentales. Sus testimonios y fotografías de antes y después son un testimonio del poder transformador de este tratamiento.

En Clínica Montaño Herrera, entendemos que la decisión de someterse a un tratamiento de implantes dentales es importante. Por eso, te ofrecemos un equipo de profesionales altamente cualificados, tecnología de vanguardia y un trato personalizado para garantizar tu satisfacción. Confía en nosotros para recuperar tu sonrisa y tu calidad de vida.
¡Te esperamos para transformar tu sonrisa y tu vida!