Una de las áreas de trabajo principales de un odontólogo es la ortodoncia, enfocada en conseguir una corrección en la posición de las piezas dentaria, así como la ortopedia dentofacial, que se encarga de mejorar la estructura óseo facial.
Muchos padres y madres desconocen lo que la ortopedia dental puede hacer por la salud de sus hijos con miras a futuro y a veces optan de primeras por solucionar el problema con ortodoncia. Ya os lo contábamos hace unos meses, hay ortodoncia para adultos y para niños. Es importante en este caso dejarse asesorar por el profesional que le recomendará una opción u otra.
La primera visita al dentista
Es importante realizar la primera visita al dentista con los hijos antes de los 7 años para poder detectar posibles crecimientos esqueléticos erróneos y poner solución a tiempo. Aquí, la evaluación temprana siempre ofrece las mejores soluciones a futuro, con un tratamiento menos costoso y en menor tiempo.
Si los padres lo dejan pasar, es posible que se tengan problemas como asimetrías faciales, malposición u oclusión dentaria, e incluso dolores musculares y articulares.
Ortopedia dental ¿Cuándo es necesaria?
Cuando el especialista observa un crecimiento maxilar fuera de lo normal, un desajuste en la mordida o un crecimiento de la mandíbula o maxilar superior, es cuando valorará la necesidad de la ortopedia dental.
Es la solución ideal cuando se está en etapa de crecimiento, desde los 6 años hasta el final del crecimiento, pues la estructura ósea en etapas tempranas se moldea y orienta mucho mejor que cuando ya está estabilizada. Lo ideal es coincidir en el momento de dentición mixta o al inicio de la dentición permanente. En la ortopedia dentofacial se utiliza aparatología tanto fija como removible, que nos permite:
- Orientar el crecimiento facial
- Conseguir armonía facial
- Oclusión dentaria equilibrada
- Estética dental
Es posible que después de la ortopedia haya que recurrir a la ortodoncia tradicional con brackets o a la ortodoncia invisible. ¡Más adelante verás un caso real!
En nuestra clínica dental en Herrera hemos realizado multitud de tratamientos de ortopedia dental infantil y, además, intentamos acercarnos a los más pequeños personalizando la aparatología con sus personajes o temática favorita, como estas que os mostramos de los Minions o del Sevilla Fútbol Club, reforzando así la motivación del paciente para que aumente el índice de éxito del tratamiento, sobre todo en aparatología removible, al depender de los niños.


Ortodoncia
Recuperar función masticatoria o contar con una mejor estética dental son algunos de los objetivos para empezar un tratamiento de ortodoncia tradicional u ortodoncia invisible. Se recomienda realizar un tratamiento de ortodoncia cuando hayan salido todos los dientes definitivos.
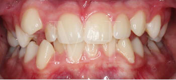
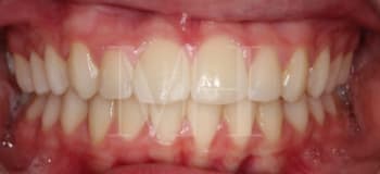
Caso real de ortopedia dental combinada con ortodoncia
Como hemos comentado antes, es posible que después de un tratamiento de ortopedia dental se refuerce con ortodoncia. En estas fotos podemos ver un caso real que muestra perfectamente la corrección ósea y la mejora estética conseguida.
El trabajo llevado a cabo se realiza con un disyuntor y seguidamente el uso de brackets para mejorar ese apiñamiento tan visible.


Caso real de ortopedia dental combinada con ortodoncia
Os mostramos un antes y un después de un caso con una mordida posterior bilateral de más de 12 mm. En este caso se aplica tratamiento combinado de ortopedia dental y ortodoncia en paciente joven, justo en la edad de pleno crecimiento esquelético, lo cual nos permite orientar y corregir el crecimiento dentofacial con mayor facilidad. Se le realiza un tratamiento de 2 años y medio con disyuntor y después con brackets.
En Clínica Montaño Herrera nos sentimos muy satisfechos con los resultados obtenidos y con la confianza que estos padres han depositado en nosotros. A este pequeño paciente le hemos solucionado muchos futuros problemas.
