La periodontitis es la llamada “enfermedad de las encías”, que se produce a través de una infección de los tejidos blandos, haciendo que podamos perder el hueso donde se sostienen los dientes y que afecte a otras partes del cuerpo.
Las enfermedades en periodoncia se dividen en dos fases:
- Gingivitis: fase inicial donde se presenta inflamación e incluso sangrado.
- Periodontitis: fase avanzada donde se produce pérdida de hueso y la afectación del ligamento periodontal.
Las enfermedades sistémicas son aquellas que afectan a varios órganos y tejidos, o al cuerpo en general.
En España, se estima que 8 de cada 10 personas mayores de 35 años tienen algún tipo de enfermedad periodontal, por lo que es muy importante la labor de concienciación en la ciudadanía de mantener una buena salud bucodental para que no afecte al resto del organismo.
“Más de medio centenar de enfermedades sistémicas están relacionadas con la periodontitis”, afirma la Sociedad Española de Periodoncia y Osteointegración (SEPA).
Cómo identificar la periodontitis
Para que puedas identificar en casa si tienes periodontitis, te enumeramos los patrones más frecuentes que vemos en nuestro centro dental en Herrera:
- Encías inflamadas o hinchadas
- Encías sensibles al tacto
- Encías de color rojo oscuro o morado
- Sangrado de encías
- Recesión gingival o retracción de las encías, donde se aprecia parte de la superficie de la raíz
- Aumento de espacio entre dientes
- Halitosis o mal aliento
- Pérdida de dientes
- Dientes flojos
- Dolor al masticar
- Problemas de masticación
Todo esto, además, con la consecuente pérdida estética que produce a su vez frustración, ansiedad y que puede revertir en una pérdida de calidad de vida al avergonzarnos por nuestra boca y afectando a nuestra vida social.
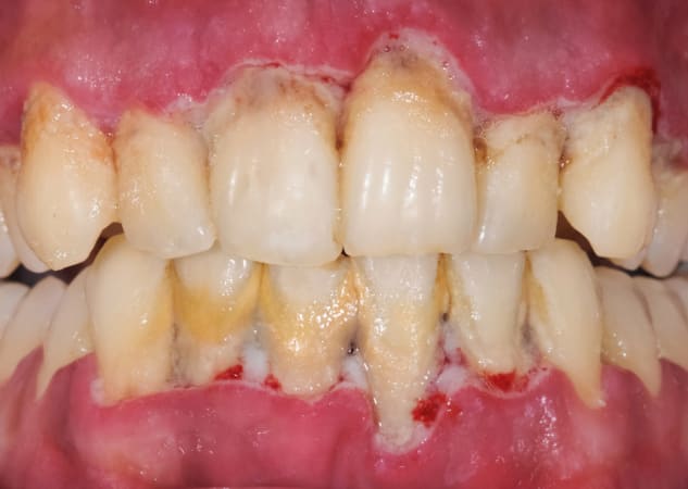
Para que puedas identificarlo visualmente, te ponemos algunas fotos de casos de gingivitis y periodontitis:

Gingivitis 
Gingivitis 
Periodontitis 
Periodontitis
Enfermedades sistémicas y periodontitis
- Diabetes. Aquí puedes informarte más acerca de la diabetes y la salud bucodental y como es un problema bidireccional, donde una patología afecta a la otra.
- Enfermedades cardiovasculares, tales como ictus o enfermedades coronarias
- Disfunción eréctil
- Obesidad
- Artritis reumatoide
- Alzheimer
Durante el embarazo las enfermedades periodontales presentan también problemas adversos, como embarazos prematuros o abortos.
Caso clínico de problemas periodontales
La importancia de mantener una buena salud bucodental ha quedado más que patente en este artículo. Prevenir es mucho mejor que curar y una revisión a tiempo siempre puede salvarnos de un mal mayor. Acude a tu dentista y realiza las revisiones pertinentes durante el año.
Infórmate de los tratamientos que realizamos en Clínica Montaño Herrera para la prevención de enfermedades periodontales, a través de limpiezas dentales, raspado y alisado radicular, o las soluciones a través de cirugía periodontal de reposición apical, regenerativas o mucogingivales.



